Skip to content
  • Investigative Journalism
    • Is the Angst of Declawing Contributing to Veterinarian Suicide?
    • Declawing in America
    • AAHA Still Allows Declawing In Their Accredited Animal Hospitals in 2024
    • How The Veterinary Associations Stopped the Anti-Declawing Legislation
  • Declawing Facts & Humane Options
  • My Petitions
  • No Declaw Vets
    • USA
    • Canada
  • About City
    • #2343 (no title)
    • Contact City the Kitty
  • Investigative Journalism
    • Is the Angst of Declawing Contributing to Veterinarian Suicide?
    • Declawing in America
    • AAHA Still Allows Declawing In Their Accredited Animal Hospitals in 2024
    • How The Veterinary Associations Stopped the Anti-Declawing Legislation
  • Declawing Facts & Humane Options
  • My Petitions
  • No Declaw Vets
    • USA
    • Canada
  • About City
    • #2343 (no title)
    • Contact City the Kitty

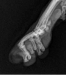
Declawed Xray1

  • My Resume
  • A Letter to your Declawing Veterinarian
  • Declawing Facts vs Myths & Humane Options
Facebook-f Twitter Youtube Instagram Pinterest-p